OPEN 24 HOURS 365 DAYS

大连新百佳妇儿医院宫颈癌筛查多少钱?宫颈癌筛查项目有哪些?

分享到:
Date:2020-07-01 08:57:45 Read:80
  大连新百佳妇儿医院宫颈癌筛查多少钱?宫颈癌筛查项目有哪些?大连新百佳妇儿医院妇科医生李小薇带您了解,宫颈癌是常见的妇科恶性肿瘤之一,近年来宫颈癌的发病年龄呈年轻化趋势。宫颈癌可通过癌前病变的检查和处理得以有效控制,因此宫颈癌的筛查就尤为重要。
 
  宫颈癌防大于治
 
  宫颈癌的筛查形成了三阶梯诊断:TCT(液基薄层细胞检测)、HPV病毒分型检测、阴道镜检查与病理组织活检。
 
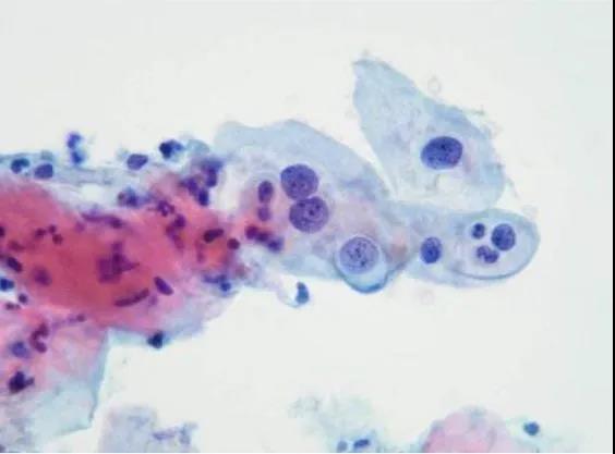
  TCT检查是宫颈检查的基础项目之一,它的检查方法操作简单、准确率也较好:用一把尖头锥形刷在女性的宫颈上轻刷几圈,就可以取到宫颈上皮细胞,再将它放在显微镜下观察,是否有病变细胞并判断病变级别。
  检查报告上经常可以看到的”红蓝相间“,即染色后的宫颈细胞
 
  宫颈癌筛查的三个阶梯,你在哪一级?>>>在线客服
 
  第一阶梯是HPV和TCT检查,HPV和TCT检查可以作为初筛。也就是病原体+脱落细胞检查,是宫颈癌筛查的第一阶梯;如果这个阶梯不过关,那么就进入到第二阶梯:阴道镜检查;阴道镜检查通常要伴随着宫颈活检,也就是我们说的第三阶梯检查。
  做了TCT,为什么还要做HPV检测
 
  引起宫颈癌的必要条件是高危型人乳头瘤病毒的持续感染。因为HPV检测的敏感性高于TCT检测,故为了以防万一,临床上要同时做TCT和HPV检测。
 
  HPV、TCT检查每年都要查吗?
 
  宫颈癌从病毒持续感染到恶变可能长达20年,难道每年都要做宫颈癌筛查吗?如果HPV和TCT连续三年都查出来是正常的,那可以两三年查一次。
 
  但有一点要注意:如果您之前有过宫颈病变,需要坚持每年做一次TCT和HPV的筛查,千万不能偷懒。另外:如果之前曾有过性生活,后面没有性生活很多年,再后来又更换了性伴侣,这个时候都是您需要来做TCT和HPV筛查的一个重要的信号。
  TCT和HPV筛查的两个误区,看看你中招了么?>>>在线客服
 
  没有症状就不用去做HPV检查?错!宫颈病变大多数都是由HPV引起的,而HPV病毒感染后本身是没有症状的,但是它特别容易跟细菌合并感染,比如霉菌性阴道炎治疗后还是反复的发作,这个时候就提醒大家去做一个HPV的检查。
 
  多年没有性生活,可以不用去做HPV检查?错!一般来说,不管你近期有没有性生活,只要是有过性生活史,都要定期做HPV和TCT的检查。
 
TCT联合HPV
精准评估宫颈癌患病风险
了解更多优惠详情或预约方式
  1、直接点击这里>>>在线客服,在线了解;
       2、客服热线:0411-8182 2109快速预约.
       3、微信客服:dlbjfc留下【姓名+电话】即可快速预约
 

在线客服

我们不仅提供线下医疗服务,还提供网络问询服务。
We provide not only offline medical service but also internet inquiry.

便民服务 & 预约挂号

您的挂号已成功,稍后会有线上客服人员给您回电,请留意接听新百佳妇儿的电话。
详情咨询:0411 81822109

门诊时间:周一至周日上午8点至晚上8点